Search
×
E-mail

纯化小技巧 | 标签蛋白亲和填料选择


重组蛋白领域,利用标签进行纯化,已经是一种成熟、高效的纯化方法。

设计蛋白质表达质粒时,可在其N端或C端引入亲和标签方便后续纯化,由于标签蛋白与金属离子等具有特异性的吸附作用,因此选用亲和层析来进行纯化时需要先对目标产物的结构以及亲和力位点进行充分评估。


部分常见标签蛋白特点如下表

表1.png


标签蛋白亲和层析填料的选择

His标签重组蛋白会在载体构建阶段引入组氨酸标签,因此可以选用含镍离子的亲和填料进行捕获,含有GST标签的重组蛋白可选用谷胱甘肽亲和层析法。九游老哥J9俱乐部官网填料选择见下图:


典型产品应用进展、竞品策略分享 2024.08.30 - 副本_01(1).png


Ni2+不同螯合方式的介绍

氨酸 (His) 侧链上的咪唑基团能够与多种金属离子(如Ni2+、Co2+、Cu2+、Zn2+等)形成配位键并选择性结合,其中,Ni2+是纯化His标签蛋白的首选金属离子,也是目前使用最为广泛的金属离子。


通常大家所接触的IDA、NTA和TED的不同螯合形式,就是基于Ni2+的不同螯合策略实现。Ni2+为六价,IDA偶联需要占用其三个位点,还剩余三个位点结合His标签;第二种偶联方式NTA则是占据Ni2+的四个位点,剩余两个位点结合His标签;而第三种方式TED偶联则需要占据五个位点,剩余1个位点结合His标签。


表改2222222.png

表1:不同螯合形式的填料特点介绍

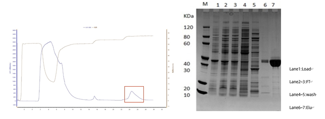
案例分享—重组蛋白纯化

样品信息:His蛋白上清液(大肠表达)

层析柱:Ni Chromstar? FF (0.77*10 cm,4.7ml)

Buffer A: 20mM PB, 0.5M NaCl, 20mM 咪唑

Buffer B: 20mM PB, 0.5M NaCl, 500mM 咪唑


图33333.pngNi填料层析图谱和胶图


小结:SDS-PAGE结果显示,洗脱峰中获得纯度较高的重组蛋白。


常见Trouble shooting


表3全.png


点击查看 层析纯化完整资料

即刻咨询

想了解九游老哥J9俱乐部官网验证检测服务更多详情?填写右侧表单,即刻与我们取得联系
地址
上海市浦东新区盛夏路58号15栋
联系我们
邮箱:
info@biolink.com
电话:
400-058-9000
地址:
上海市浦东新区盛夏路58号15栋